Call Us Today!
(970) 247-2677
New Patients
(970) 233-7384

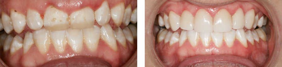
Your smile is a balance of teeth, gums, and the way those elements frame your face. When gum tissue covers more of the tooth surface than expected, teeth can appear short or uneven and the overall proportion of the smile changes. This condition — commonly described as a “gummy smile” — is often the result of excess gum tissue rather than abnormally small teeth. Identifying what’s contributing to your smile’s appearance is the first step toward a treatment plan that looks and feels natural.
Gum contouring is a targeted procedure that reshapes the gumline to reveal more of the tooth’s crown and improve symmetry. It is used for both cosmetic refinements and practical restorative preparation, such as making room for crowns or veneers. The goal is not simply to remove tissue, but to restore balance between tooth and gum so the smile appears harmonious with the rest of the face.
We approach every consultation by examining tooth size, gum thickness, lip position, and facial proportions. A successful outcome begins with a clear diagnosis and a discussion of realistic expectations, including how changes will influence both appearance and oral hygiene. For many patients in Durango, Colorado, this combination of careful analysis and conservative treatment produces a more confident, comfortable smile.
Advances in dental lasers and microsurgical techniques have made gum contouring a more precise, comfortable option than traditional scalpel-based methods. Laser treatment allows clinicians to remove or reshape soft tissue with minimal bleeding and a high degree of control. This precision is especially useful when fine adjustments are needed to correct minor asymmetry or to expose additional tooth structure for restorative procedures.
During the procedure, the clinician marks the proposed new gumline, then uses the laser to trim and sculpt tissue while preserving healthy margins. The device seals small blood vessels as it works, which reduces swelling and shortens recovery time. Because laser contouring is less invasive, many patients experience less discomfort and can return to normal activities more quickly than with older techniques.
The process is adaptable: it can be performed on a single tooth or across the entire smile, depending on the patient’s goals. In cases where bone modification is required to reshape the tooth’s visible length permanently, a crown-lengthening approach that includes careful bone adjustment may be recommended. We will explain whether soft-tissue contouring alone is sufficient or if combined treatment will produce the best long-term result.

Gum contouring suits patients who are bothered by uneven or excessive gum coverage but otherwise have healthy periodontal tissue. A thorough exam ensures the gums are free of active infection and that there is adequate tooth structure to support the final cosmetic or restorative outcome. Patients with gum disease will be treated to stabilize inflammation before any cosmetic reshaping is considered.
Other considerations include smile dynamics — how much the upper lip reveals when you smile or speak — and whether tooth proportions will remain natural after tissue removal. For people seeking improved aesthetics, gum contouring can create the appearance of longer, better-proportioned teeth. For those preparing for crowns, veneers, or composite restorations, contouring improves access and can enhance the longevity and appearance of the final restoration.
Age, general health, and individual healing characteristics are also reviewed. While many adults are suitable candidates, we tailor recommendations to each patient’s oral health history and cosmetic goals. If you are uncertain whether you are a candidate, a consultation will determine the safest, most effective path forward.
Recovery after gum contouring typically involves a short period of mild tenderness and sensitivity as the tissues heal. With laser-assisted techniques, bleeding is minimal and most patients report manageable discomfort that responds well to over-the-counter analgesics and simple home care. We will provide specific aftercare instructions to promote healthy healing and reduce the risk of complications.
Post-procedure care usually includes gentle oral hygiene around the treated area, temporary adjustments to brushing technique, and short-term dietary modifications to avoid irritating the healing tissue. Follow-up visits allow the clinician to confirm that the gumline is settling into its new position and that tissue health is maintained. Any restorative work that motivated the contouring can be completed once healing is adequate.
Long-term success depends on routine oral hygiene and periodontal maintenance. Healthy gums are the foundation of a lasting cosmetic result and play a key role in protecting tooth roots and supporting structures. We emphasize preventive care and monitoring so that improvements to the gumline remain stable and attractive for years to come.
When combined with conservative restorative or cosmetic treatments, gum contouring can be a durable and predictable way to enhance smile aesthetics while preserving tooth function. We discuss realistic timelines for healing and coordinate follow-up restorative phases to minimize inconvenience and maximize results.
Our practice favors conservative, evidence-based care that preserves healthy tooth structure and optimizes soft-tissue health. Gum contouring is approached with this same mindset: wherever possible, we select techniques that minimize tissue trauma while achieving natural-looking results. Precision, patient comfort, and long-term stability guide every treatment plan.
We integrate advanced technology, including laser therapy, with a careful assessment of facial proportions and smile dynamics to produce outcomes that complement each patient’s appearance. Communication is central to our approach — we review before-and-after visualizations, explain each step of the process, and outline realistic expectations so patients can make informed decisions about their care.
Mountain Health Dentistry brings an emphasis on whole-health dentistry and tooth-saving expertise to aesthetic procedures like gum contouring. Our goal is to deliver balanced, subtle improvements that enhance confidence without compromising oral health. For patients considering gum reshaping, we present options that align with long-term function and esthetics.
In summary, gum contouring is a targeted, effective way to improve the balance between teeth and gums for a more pleasing smile. If you’re curious whether this treatment could help you, please contact us for more information and to arrange a consultation.
Gum contouring is a targeted dental procedure that reshapes the gumline to expose more of the tooth crown and improve symmetry. It addresses excessive or uneven gum tissue that can make teeth appear short or disproportionate. Clinically, the goal is to restore balanced tooth-to-gum proportions while preserving healthy soft tissue and attachment. Gum contouring may be performed for cosmetic refinement or to prepare teeth for restorative treatments such as crowns or veneers.
Modern approaches emphasize conservative tissue removal and precise control to maintain periodontal health. A careful diagnosis considers tooth size, gum thickness, lip dynamics and facial proportions to determine the ideal new gingival margin. Patient-specific planning helps ensure predictable aesthetic and functional outcomes.
Laser gum contouring uses focused light energy to trim and sculpt soft tissue with a high degree of control, often resulting in less bleeding and reduced swelling compared with scalpel-based techniques. The laser seals small blood vessels as it works, which can shorten recovery and improve patient comfort. Laser tools also allow fine adjustments to correct minor asymmetry without disturbing surrounding tissue. For many patients, these features make laser contouring a more precise and comfortable option.
Traditional scalpel methods remain appropriate in certain clinical situations, particularly when combined bone modification is required. When bone needs reshaping to create lasting tooth length, a crown-lengthening procedure may involve both soft tissue and bone work. Your clinician will explain whether soft-tissue contouring alone is sufficient or if a combined approach will provide the best long-term result.
Good candidates typically have healthy periodontal tissue, no active gum infection, and sufficient tooth structure to support the desired cosmetic or restorative outcome. Patients who are bothered by a gummy smile, uneven gingival margins, or who need improved access for crowns or veneers are commonly evaluated for contouring. A thorough exam assesses gum health, pocket depths, and the relationship of bone to the tooth crown to ensure safety and stability. If periodontal disease is present, treating inflammation and stabilizing tissue health is a prerequisite.
Individual factors such as age, general health, and healing tendencies are also considered when determining candidacy. Smoking, uncontrolled systemic conditions, or medications that affect healing may influence treatment planning. The clinician will discuss realistic expectations and possible alternatives if contouring is not the appropriate first step for your needs.
During an initial visit the clinician marks the proposed new gumline and discusses anesthesia options to ensure comfort. Local anesthesia is commonly used to numb the area before tissue reshaping, and laser systems are applied to trim and sculpt the gingiva with precise, incremental adjustments. Procedures can range from a single-tooth refinement to contouring across several teeth depending on the treatment plan. If bone modification is necessary for permanent crown lengthening, that step is explained and scheduled as part of a comprehensive plan.
Typical treatment times vary based on the extent of contouring but most soft-tissue procedures are completed in a single appointment. The clinician will review aftercare steps and estimated healing timelines before you leave. Coordination with restorative phases—such as when to place veneers or crowns—is planned so final restorations occur after adequate healing.
Recovery after laser-assisted gum contouring is usually short, with most patients experiencing mild tenderness and sensitivity for several days. Because lasers minimize bleeding and seal small vessels, swelling and discomfort are often reduced compared with older techniques. Over-the-counter analgesics typically control symptoms, and clinicians provide specific oral hygiene guidance to protect the treated area. Avoiding very hot, spicy or crunchy foods for a short period helps prevent irritation during early healing.
Careful oral hygiene and follow-up visits are important for a stable outcome. You may be asked to use gentle brushing techniques and an antimicrobial rinse for a limited time while tissues mature. Follow-up appointments allow the clinician to confirm that the gumline is settling into its new position and that any restorative work can proceed when healing is sufficient.
As with any surgical procedure, gum contouring carries potential risks such as transient sensitivity, delayed healing, uneven margins, or infection, although serious complications are uncommon when treatment is performed by an experienced clinician. In some cases additional minor adjustments may be needed to refine symmetry once healing is complete. If bone modification is part of the plan, there is additional complexity and a slightly longer healing timeline compared with soft-tissue-only procedures. Patients with compromised healing may face a higher risk of complications and should be evaluated carefully beforehand.
Risk is minimized by a thorough preoperative exam, appropriate periodontal stabilization, and clear post-operative instructions. Maintaining routine periodontal care and attending follow-up visits reduces the chance of adverse outcomes and supports long-term stability. Your clinician will explain specific risks related to your case and how they will be managed.
Yes. Gum contouring often plays a supportive role in restorative and cosmetic dentistry by exposing adequate tooth structure for proper crown or veneer margins and creating harmonious tooth proportions. Proper gingival margins improve the fit and appearance of restorations and can reduce the risk of margin-related decay or plaque accumulation. Coordinating contouring with restorative planning helps ensure that final restorations are both functional and aesthetically balanced.
Timing is important: soft-tissue healing must be sufficient before final restorations are placed, so clinicians typically schedule restorative steps after an appropriate healing interval. In cases requiring crown lengthening that involves bone, the restorative timeline will be adjusted accordingly to allow stable periodontal support. Close communication between the restoration team and the clinician performing contouring yields the best long-term results.
When performed after periodontal health is established, gum contouring can produce long-lasting improvements in gingival architecture and smile proportions. Results remain stable when patients maintain excellent oral hygiene, attend regular periodontal maintenance, and manage risk factors such as smoking or uncontrolled systemic conditions. Natural tissue can change over time due to aging, shifts in oral health, or new dental work, so occasional reassessment is normal as part of long-term care.
Ongoing preventive care, including professional cleanings and periodic exams, is the primary way to protect the contouring outcome. Prompt treatment of any recurrent inflammation or periodontal issues helps preserve the new gumline and supports the longevity of adjacent restorations. Your clinician will provide a personalized maintenance schedule based on your oral health needs.
Mountain Health Dentistry takes a conservative, evidence-based approach that prioritizes periodontal health and tooth-saving techniques when planning gum contouring. Our process begins with a comprehensive evaluation of smile dynamics, gingival thickness, tooth proportions and overall oral health to determine whether soft-tissue contouring alone or combined crown-lengthening is appropriate. Advanced tools and laser expertise are used to deliver precise, minimally invasive treatment whenever clinically indicated.
Communication and patient education are central to the plan: we review visualizations of expected changes, explain the sequence of care, and coordinate any necessary restorative phases so functional and esthetic goals align. The emphasis is on predictable outcomes that enhance appearance without compromising long-term oral health.
Before your consultation, gather any relevant dental records, a list of medications and a summary of your dental or medical history to help the clinician assess candidacy and healing factors. Consider bringing photographs of your smile or examples of the look you hope to achieve, and prepare questions about anesthesia options, expected timelines and how contouring will interact with any planned restorative work. Full disclosure of health conditions such as diabetes or medications that affect healing will allow for safer, more accurate planning.
At the appointment you can expect a focused exam of periodontal health, tooth-to-bone relationships and smile dynamics, followed by a discussion of personalized treatment options and next steps. If gum disease or inflammation is present, the clinician will explain necessary steps to stabilize the tissues before any cosmetic reshaping. The consultation concludes with a clear plan and an explanation of the expected healing process so you can make an informed decision.
