Call Us Today!
(970) 247-2677
New Patients
(970) 233-7384

Detecting tooth decay early makes the difference between a simple preventive step and a much more involved restoration. Electronic cavity detectors are practical, evidence-informed tools that help clinicians identify areas of concern before problems progress. This page explains how these devices work, why they matter for long-term oral health, and what patients can expect during an exam.
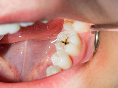
An electronic cavity detector is a handheld diagnostic instrument that helps clinicians find decay that may not be obvious on visual exam or X-rays alone. It’s particularly useful in the grooves and pits of molars and between teeth, where early lesions can hide. By providing immediate readings, the device helps guide decision-making at the chairside so treatment can be targeted and timely.
Early identification of demineralization or small cavities reduces the need for aggressive restorations later. Rather than waiting for pain or a visible cavity to appear, clinicians can use the detector’s feedback to monitor, intervene with preventive measures, or restore only the damaged tissue. That preservation-first mindset aligns with modern, minimally invasive dentistry.
Because the tool is noninvasive, it can be used routinely during check-ups without discomfort. It adds another layer of information to a comprehensive exam, helping to balance clinical judgment with objective data. For patients, that means fewer surprises and a clearer path for preserving natural teeth.
Electronic cavity detectors typically assess changes in the tooth’s structure by measuring electrical conductance or resistance as a small probe passes over the enamel and into grooves. Healthy enamel and dentin have different electrical properties than demineralized areas, and the device converts those differences into a numerical or audible signal that a clinician can interpret.
The probe itself is gentle and precise. It does not cut or abrade tissue; instead, it performs a surface-level assessment that complements visual inspection and radiographs. For routine exams, the measurement process is quick—often taking only a few moments per tooth—so it integrates smoothly into the standard checkup without adding significant time.
Importantly, an electronic reading is not a standalone diagnosis. It’s a diagnostic aid that helps prioritize areas for closer evaluation with magnification, radiographs, or targeted clinical tests. When combined with other diagnostic tools, it improves the clinician’s ability to distinguish between early reversible changes and lesions that require restorative care.
One of the main advantages of using an electronic cavity detector is the potential to preserve more natural tooth structure. By identifying early-stage decay, clinicians can often manage lesions with noninvasive strategies—fluoride treatments, remineralization protocols, or sealants—rather than immediately resorting to drilling and filling.
These devices also improve diagnostic precision. Areas that look suspicious can be quantified and monitored over time, making it easier to track progression or stability. For patients who want conservative care, that objective data supports shared decision-making, with clear reasons for watchful waiting versus intervention.
Another practical benefit is comfort. Because detection is noninvasive and quick, patients experience less discomfort than with techniques that require probing or repeated radiographs. The approach tends to reduce anxiety for people who are worried about invasive procedures, knowing that the team is using multiple tools to protect their oral health proactively.
Electronic cavity detection is one piece of a larger diagnostic framework. A thorough exam includes a visual inspection, tactile evaluation, digital radiography, and sometimes intraoral scanning or magnified observation. When all of these elements are used together, clinicians gain a fuller picture of tooth health and can design a more precise care plan.
At practices committed to preserving teeth, technology enhances judgment rather than replacing it. The device’s readings are interpreted in context—considering a patient’s caries risk, oral hygiene, diet, and medical history. That contextual approach leads to personalized recommendations that focus on keeping teeth healthy and functional for the long term.
Patients who receive care in this integrated way benefit from coordinated prevention and treatment. Whether the next step is a monitoring schedule, a professional fluoride application, or a conservative restoration, the pathway is informed by objective findings and clinical experience. This team-based approach helps ensure that interventions are necessary, timely, and as conservative as possible.
During a routine visit, the clinician will perform the usual visual and tactile checks and then may use the electronic cavity detector on areas of interest. The process is straightforward: a clean probe is placed briefly against tooth surfaces, and the clinician notes any elevated readings or consistent patterns that suggest demineralization or decay.
If the device indicates a potential problem, the clinician will explain the findings, show any supporting images or notes from the exam, and outline recommended next steps. Those steps can range from preventive measures—improved home care, targeted fluoride, or dental sealants—to scheduling a conservative restoration if a lesion has progressed beyond remineralization.
Follow-up care typically emphasizes monitoring and prevention. For early lesions, the team may set a shorter recall interval to re-evaluate the site and confirm stability or change. For lesions that need treatment, the goal is to restore function and prevent recurrence while preserving as much healthy tooth structure as possible.
Many patients appreciate the clarity that objective readings bring to their care. Knowing that decisions are based on multiple diagnostic inputs makes it easier to understand the rationale for either watching a spot closely or moving forward with a targeted, conservative treatment.
Mountain Health Dentistry integrates modern diagnostic tools to support tooth-saving strategies and thoughtful treatment planning. If you’d like to learn more about electronic cavity detection or how it could inform your next dental appointment, please contact us for more information.
